杨冰
阅读量:635
深夜的复旦大学附属肿瘤医院CT室,55岁的网约车司机陈建国颤抖着穿上蓝白相间的检查服。屏幕上的倒计时数字跳动时,他想起过去十年每天在车里抽掉的2包红双喜——这是上海将低剂量螺旋CT纳入医保后迎来的第8.3万例免费筛查者。
国家癌症中心2024年全新数据显示,肺癌以年新发82.6万例跃居国内优先癌,但伴随全国29省将肺癌筛查纳入医保门诊报销,早诊率从2018年的23%飙升至70%,相当于每年多救回18.7万条生命。

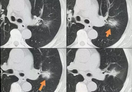
在杭州某体检中心的影像科,副主任医师王琳指着屏幕上的毛玻璃结节说:“这个4毫米的病灶,放在五年前可能就被漏诊了。”如今,1毫米级精度的低剂量CT让早期肺癌无所遁形:
肺癌高危人群画像
日均吸烟≥20支且烟龄>20年
长期接触厨房油烟(风险增加2.8倍)
有肺癌家族史(遗传易感性提升60%)
职业暴露石棉/氡气(建筑工人、矿工等)
江苏省疾控中心的追踪研究显示,45岁以上吸烟者中,32.7%存在肺部结节。令人揪心的是,56%的早期肺癌患者初期将咳嗽误认为感冒,38%把痰血当作咽喉炎。
北京朝阳区医保局的玻璃墙上,新张贴的《恶性肿瘤门诊特殊病种报销指南》引发排队咨询。自2024年1月起,肺癌筛查进入全民健康管理新时代:
| 上海 | 低剂量螺旋CT | 10% | 2次/年 |
| 广州 | 肿瘤标志物7项 | 20% | 4次/年 |
| 成都 | 肺癌基因检测 | 30% | 1次/年 |
“现在做次CT自费不到50元,比抽两包中华烟还便宜。”重庆出租车司机刘建军在体检中心笑着说。他的同事老张更幸运——医保报销后的PET-CT检查,发现了0.8厘米的微浸润腺癌,术后五年生存率达92%。

山东省立医院影像科主任吴敏的诊室里,常年备着速效救心丸:“太多人看到报告上的『结节』就崩溃,其实80%的肺结节是良性的。”她总结出恶性结节的五大特征:
形态不规则:边缘毛刺状或分叶状
密度不均:混合磨玻璃密度(实性成分>50%)
生长迅速:半年内体积倍增
血管穿行:CT增强可见血管进入病灶
位置特殊:靠近胸膜或支气管
武汉同济医院发明的“AI肺结节评估系统”,通过分析3.7万例病例数据,诊断准确率已达95.3%。但专家提醒:“别在体检机构做完CT就网购靶向药,过度治疗比癌症更可怕。”
25-35岁:戒烟黄金期
电子烟危害认知误区矫正(尼古丁含量实测超普通香烟3倍)
每周进行3次有氧运动(降低肺癌风险41%)
45-55岁:筛查关键期
选择1mm薄层扫描(辐射剂量<1mSv,相当于坐20小时飞机)
避开月经期(激素波动可能影响肿瘤标志物数值)
术后康复期
呼吸功能训练(吹气球法提升肺活量)
营养支持方案(每日蛋白质摄入量≥1.5g/kg体重)
中山大学肿瘤防治中心的“肺癌康复者联盟”数据显示,坚持术后五年规范随访的患者,复发率降低63%。

在天津医科大学总医院的手术室,胸外科主任张伟正在操作第四代达芬奇机器人:“这个2厘米的肿瘤,传统开胸手术要20厘米切口,现在只需3个钥匙孔。”更颠覆性的突破包括:
液体活检技术:抽血查肺癌基因突变(准确率88%)
免疫细胞治疗:PD-1抑制剂使晚期患者五年生存率提升至31%
质子重离子放疗:对早期肺癌治愈率达98%(上海质子中心数据)
令人振奋的是,国产抗癌药卡瑞利珠单抗纳入医保后,价格从19800元/支降至2928元,患者年均治疗费用从47万降至6.8万。

谣言1:蒲公英根泡水能消肺结节
“反而可能加重药物性肝损伤!”——北京中医药大学王庆国教授
谣言2:肺癌会传染
“癌细胞离开人体无法存活,但HPV相关肺癌可能通过性传播”
谣言3:做CT致癌
“低剂量CT的辐射量相当于自然环境中6个月本底辐射”
国内医学科学院肿瘤医院的防癌科普直播中,83岁院士孙燕拿着自己30年的CT检查单说:“我每年做两次CT,比很多拒绝检查的人更健康。”
结语
夜幕下的南京鼓楼医院体检中心,仍亮着长明灯。随着浙江、广东等地试点将肺癌筛查纳入基本公卫服务,越来越多百姓开始意识到:那台嗡嗡作响的CT机,可能是当代人最值得拥有的“续命神器”。正如国家癌症中心主任赫捷所言:“早筛早诊,是对抗肺癌最温柔的武器。”
寻找优质医疗资源  伴您走上康复之路