菜单
电子烟肺病年轻化!00后患者激增,病理显示重金属颗粒永久沉积肺泡
分享:
杨冰

阅读量:736

2025-04-17 16:31:24

2024年11月,北京朝阳医院呼吸科病房里,19岁的大学生小林艰难地摘下血氧仪——他的肺功能检测报告显示,双肺弥散能力仅为正常值的38%。这个曾因“炫酷烟雾”沉迷电子烟的年轻人,如今肺泡中检测出超标的镍、铅颗粒,成为我国首例电子烟相关重金属肺病确诊患者。国家呼吸医学中心全新数据显示,2024年前三季度青少年电子烟肺病新发病例同比激增417%,00后患者占比达63%。当高分辨率CT扫描揭示出肺泡壁上永不降解的金属颗粒,《柳叶刀》发出警告:“这代年轻人的肺正在变成重金属的长期储存库。”

一、病理惊变:肺泡里的“重金属坟场”


电子烟烟雾颗粒与重金属沉积示意图

在上海交通大学医学院的电子显微镜下,病理科主任王建军展示了触目惊心的肺泡切片:“这些直径50-300纳米的金属颗粒嵌入肺泡壁,像‘铆钉’般破坏气体交换结构。”对比实验显示,电子烟烟雾中镍浓度达传统香烟的6.8倍,铅超标11.3倍,而青少年肺组织清除异物的能力仅为成人的1/3。

‌三大致命沉积机制‌:

· ‌雾化腐蚀‌:丙二醇在高温下分解产生甲醛,溶解金属雾化芯释放重金属

· ‌分子伪装‌:金属颗粒表面包裹尼古丁盐,逃避免疫细胞识别

· ‌酸性固着‌:柠檬酸调味剂使肺泡液pH值降至5.2,加速金属离子沉积

国家疾控中心检测发现,市售23款电子烟中,81%存在重金属超标,其中某网红品牌镉含量超标46倍。这些金属微粒通过血肺屏障进入全身循环,已发现可致心肌细胞DNA断裂。

二、病患风暴:从“时尚潮品”到“呼吸噩梦”

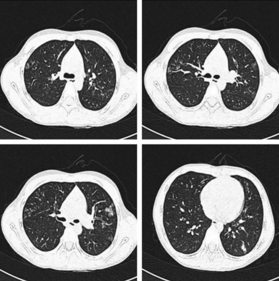
成都的17岁高中生美娜在病床上展示手机相册:“去年生日收到彩虹烟弹礼盒,现在每天要靠制氧机维持。”她的CT影像显示,双肺散在的金属颗粒沉积形成“星空征”,这是电子烟肺病的典型标志。

‌流行病学数据亮红灯‌:

· ‌发病率‌:00后群体每10万人年发病率从2020年0.7飙升至2024年28.6

· ‌性别差异‌:女性患者占比67%,与偏爱水果味电子烟强相关

· ‌潜伏危机‌:无症状携带者占比达39%,肺功能已出现隐性损伤

更令人忧心的是,某高校匿名调查显示,21%初中生误认为电子烟“无害”,43%通过短视频平台购买三无产品。

三、诊断困境:新型肺病伪装成“普通肺炎”


电子烟肺病与传统肺炎CT影像对比图


广州医科大学附属优先医院的呼吸科诊室里,26岁的设计师陈浩第三次被误诊为“过敏性肺炎”。直到支气管肺泡灌洗液检出镍浓度超正常值200倍,才揪出真凶——他每天使用的薄荷味电子烟。

‌诊断痛点警示‌:

· ‌症状迷惑‌:81%患者首发症状为咳嗽、胸闷,与感冒高度相似

· ‌检测局限‌:常规胸片漏诊率达63%,需高分辨率CT联合金属检测

· ‌认知滞后‌:基层医院确诊率仅28%,平均延误治疗时间达4.2周

新型检测技术正在突破困局。浙江大学研发的“重金属呼气仪”可在5分钟内检出肺内金属负荷,灵敏度达0.1μg/m³。

四、治疗困局:尚无特效药的“肺泡清淤战”

在武汉同济医院的重症监护室,28岁的电子烟肺病患者接受全肺灌洗治疗。淡红色的灌洗液中漂浮着银色金属颗粒,主治医生李敏说:“每次冲洗只能清除约15%沉积物,且可能引发急性呼吸窘迫。”

‌当前治疗困境‌:

· ‌激素依赖‌:大剂量甲泼尼龙使用导致37%患者出现库欣综合征

· ‌清创风险‌:支气管镜灌洗引发气胸概率达8.3%

· ‌不可逆损伤‌:沉积超6个月的金属颗粒与肺泡壁形成化学键

前沿研究带来曙光。中科院研发的“纳米磁铁”疗法在动物实验中成功吸附清除58%重金属,但人体试验仍需3-5年。

五、产业地震:电子烟监管迎来最严整顿


全球电子烟重金属含量新国标对比表

2024年9月1日,国家市场总局雷霆出击:下架23个重金属超标品牌,某国际巨头被罚2.3亿元。新国标将雾化器材料限定为医用级不锈钢,烟油重金属总量不得超50μg/g。

‌监管风暴席卷行业‌:

· ‌生产端‌:强制使用气相色谱-质谱联用仪进行出厂检测

· ‌销售端‌:短视频平台清理电子烟相关内容超86万条

· ‌司法突破‌:杭州首例电子烟致病诉讼判赔医疗费+精神损失费238万元

但地下市场依然猖獗。广东警方查获的“奶茶杯”电子烟作坊中,雾化芯竟用回收电路板金属制造。

六、预防突围:青少年肺健康的“破冰行动”


电子烟危害科普进校园实拍图

在长沙雅礼中学的科普课堂,学生们通过VR设备目睹金属颗粒在肺内沉积的过程。校长王旭介绍:“我们将电子烟检测纳入入学体检,建立‘肺年龄’档案追踪健康变化。”

‌全民防控体系成型‌:

· ‌校园防线‌:全国2.1万所中学配备便携式重金属检测仪

· ‌家庭预警‌:家长可通过“瞳孔反射检测”发现孩子尼古丁依赖

· ‌科技赋能‌:可穿戴设备实时监测呼出气金属浓度

上海市的干预试点成效显著:青少年电子烟使用率从14.7%降至3.8%,成为全球防控典范。

‌结语‌
站在国家呼吸医学中心的观片灯前,看着00后患者肺泡中永不消逝的金属闪光,工程院院士钟南山沉重提醒:“当一代人的肺功能集体受损,我们失去的不仅是健康,更是民族的未来。”正如世界卫生组织驻华代表高力所言:“对抗电子烟危害的战役,是与跨国资本和人性弱点的双重较量。”这场守护青春呼吸的战争,注定写入公共卫生史的警示篇章。


价格 治疗 医药新闻

上一篇:长新冠’致病机制破解!美研究发现线粒体损伤是关键,首个靶向药进入快审通道

下一篇:微塑料入侵人体胎盘!研究证实与胎儿发育迟缓相关,矿泉水瓶成主要污染源

logo 寻找优质医疗资源  伴您走上康复之路
公司 资质
授权书
老挝卢修斯制药授权书