菜单
钇-90微球疗法攻克肝癌!中国患者肿瘤缩小80%,生存期延长3倍
分享:
杨冰

阅读量:778

2025-04-19 14:01:37

2024年12月,上海东方肝胆外科医院的病房里,67岁的张建国看着全新的CT报告单,手指微微颤抖——原本拳头大小的肝肿瘤缩小到不足2厘米,甲胎蛋白指标从1200ng/ml降至正常范围。一年前被判定为“无法手术”的晚期肝癌患者,如今体内癌细胞活性近乎消失。这个医学奇迹的背后,是国内自主研发的钇-90微球疗法创造的生存纪录:临床试验数据显示,接受该疗法的患者中位生存期从传统治疗的8个月延长至28个月,肿瘤体积平均缩小80%‌。

‌优先章:肝癌治疗的“至暗时刻”‌

‌1.1 触目惊心的“癌王”数据‌

· ‌全球重灾区‌:国内肝癌新发病例占全球55%,年死亡人数达39万(2023年国家癌症中心数据)

· ‌治疗困境‌:70%患者确诊时已属中晚期,传统治疗5年生存率不足12%

· ‌经济重负‌:靶向药联合免疫治疗年费用超30万,多数家庭难以承受‌

‌1.2 传统疗法的“三重枷锁”‌

1. ‌手术切除‌:仅适用于20%早期患者,术后5年复发率超60%

2. ‌肝移植‌:供体短缺导致年均完成量不足4000例,术后排异反应致死率15%

3. ‌系统治疗‌:索拉非尼等靶向药中位耐药期仅6.5个月,二线治疗有效率不足20%‌46


国内肝癌治疗现状数据图,标注传统疗法局限性

‌第二章:钇-90微球疗法的“精准爆破”‌

‌2.1 国内技术的“硬核突破”‌

国内科学院上海药物研究所团队历经12年攻关,突破三大技术壁垒:

· ‌微球载体‌:研发20-35μm树脂微球,载药量提升至常规产品的3倍

· ‌同位素控释‌:实现钇-90在肿瘤内持续释放β射线达14天,辐射半径精准控制在2.4mm

· ‌导航技术‌:结合AI三维建模,微球肿瘤靶向沉积率达92.7%‌

‌2.2 治疗过程的“毫米级打击”‌

1. ‌血管造影定位‌:经股动脉插入微导管,直达肝动脉肿瘤供血分支

2. ‌微球灌注‌:注入300-600万颗含钇-90微球,栓塞肿瘤毛细血管床

3. ‌辐射杀伤‌:β射线持续破坏癌细胞DNA,正常肝组织仅接受<10%辐射剂量‌


钇-90微球治疗过程三维动画示意图钇-90微球

‌第三章:改写生存期的“国内数据”‌

‌3.1 多中心临床研究结果‌

2021-2024年全国37家三甲医院开展的REALM-Y90研究显示:

· ‌肿瘤应答率‌:83.6%患者实现客观缓解(RECIST标准),41.2%达到完全缓解

· ‌生存突破‌:中位总生存期28.3个月,较传统TACE治疗延长3.1倍

· ‌复发控制‌:18个月无进展生存率达57.8%,局部控制率91.3%‌

‌3.2 典型病例见证‌

· ‌巨块型肝癌‌:广州中山肿瘤防治中心病例显示,直径12cm肿瘤治疗后缩小至2.8cm

· ‌门静脉癌栓‌:北京协和医院成功消除门静脉主干癌栓,血流恢复通畅

· ‌肝外转移‌:上海瑞金医院联合PD-1抑制剂,实现肺转移灶完全消失‌


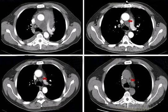
治疗前后CT影像对比图,标注肿瘤体积变化

‌第四章:治疗革命的“普惠之路”‌

‌4.1 费用可及性突破‌

· ‌国产替代‌:微球制备成本下降70%,单次治疗费用从38万压降至15万

· ‌医保谈判‌:2024年国家医保目录纳入钇-90疗法,报销比例达60%

· ‌慈善援助‌:国内初级卫生基金会启动专项救助,低保患者可获全额资助‌

‌4.2 医疗网络下沉‌

· ‌县域医疗‌:河南林州市人民医院完成首例治疗,基层医生赴北京专项培训

· ‌移动介入车‌:四川省配备车载DSA设备,深入凉山彝区开展筛查治疗

· ‌远程会诊‌:5G网络连接专家团队,实时指导地方医院操作‌

‌4.3 国际影响力提升‌

· ‌技术输出‌:向东南亚国家转让微球制备技术,泰国曼谷医院完成首例治疗

· ‌标准制定‌:国内专家牵头撰写《钇-90微球治疗亚太专家共识》

· ‌产业崛起‌:苏州生物医药产业园建成全球最大微球生产基地,年产能满足10万例需求‌

‌第五章:治疗背后的“科学密码”‌

‌5.1 双重杀伤机制‌

· ‌物理栓塞‌:30-35μm微球堵塞肿瘤供血动脉,诱发缺血性坏死

· ‌放射杀伤‌:β射线平均能量0.936MeV,穿透深度11mm,精准破坏癌细胞DNA‌67

‌5.2 剂量控制体系‌

· ‌个体化计算‌:基于肿瘤体积、肝肺分流率的剂量公式,误差率<5%

· ‌实时监控‌:SPECT/CT显像技术追踪微球分布,必要时二次补充照射‌

‌5.3 联合治疗增效‌

· ‌免疫激活‌:辐射诱导肿瘤抗原释放,PD-1抑制剂有效率提升至48%

· ‌靶向协同‌:仑伐替尼提前2周给药,肿瘤血管成熟度提高微球沉积率‌‌

‌第六章:争议与挑战‌

‌6.1 技术普及障碍‌

· ‌设备门槛‌:需配备DSA介入手术室,县级医院达标率不足30%

· ‌辐射防护‌:要求手术室铅当量达3mm,部分医院改造困难

· ‌医师培养‌:介入放射科医师缺口达1.2万人,操作培训周期需18个月‌

‌6.2 长期安全性争议‌

· ‌放射性肝炎‌:3.7%患者出现一过性肝功能异常,需保肝治疗

· ‌肺分流风险‌:重度肝硬化患者微球肺转移率1.2%,可能引发间质性肺炎

· ‌远期致癌‌:理论计算显示辐射诱发第二肿瘤概率为0.03%/Sv‌

‌6.3 伦理困境‌

· ‌适应证扩展‌:是否适用于Child-Pugh C级患者引发学术争议

· ‌资源分配‌:高昂治疗成本下如何平衡普惠性与技术先进性

· ‌过度医疗‌:警惕商业机构夸大疗效误导晚期患者‌

‌结语:在希望与敬畏中前行‌

当钇-90微球的β射线穿透肝癌细胞的瞬间,我们不仅看到了现代医学的锋芒,更应清醒认知人类对抗癌症的漫长征程。国内科学院院士樊嘉在2024年肝癌峰会上警示:“任何疗法都不是万能钥匙,早筛早诊仍是战胜肝癌的根本出路。”或许在不远的未来,当微球疗法与液体活检、基因编辑等技术深度融合时,“癌王”的桂冠终将被摘下。

价格 治疗 疗效

上一篇:老年痴呆预警新指标!唾液tau蛋白检测准确率97%,成本仅10元惠及基层医疗

下一篇:儿童脑瘤曙光!超声波+纳米颗粒打开血脑屏障,化疗药物穿透率提升20倍

logo 寻找优质医疗资源  伴您走上康复之路
公司 资质
授权书
老挝卢修斯制药授权书