杨冰
阅读量:570
在医学领域,胶质母细胞瘤一直是难以攻克的难题。这种恶性程度最高、侵袭性最强的脑肿瘤,严重威胁着患者的生命健康,传统治疗手段往往难以取得理想效果。然而,树兰医院在精准医疗领域取得了重大突破,通过靶向治疗成功使胶质母细胞瘤患者的肿瘤缩小30%,为众多患者带来了新的希望。本文将深入剖析这一突破性成果,探讨精准医疗在胶质母细胞瘤治疗中的应用价值与前景。

胶质母细胞瘤是中枢神经系统最常见的、恶性程度最高的星形细胞瘤,属于恶性肿瘤。它好发于额叶、颞叶深部白质区,基底核和颅后窝也可累及,后者以小脑半球和脑干最常见。患者临床主要表现为头痛、呕吐、视力下降等颅内压增高征象,还可能出现癫痫发作、偏瘫、失语、感觉障碍等并发症状。
胶质母细胞瘤恶性程度高,预后不良。据统计,对于高级别胶质瘤患者而言,五年生存率仅为6.9%。它病程短,生长迅速且呈弥漫性浸润性生长,几乎全部患者都有颅内压增高症状,严重影响患者的生活质量,甚至危及生命。
目前,临床上针对新诊断的胶质母细胞瘤患者的标准治疗包括手术,之后是放疗和化疗。然而,这些治疗方案选择相对有限,且效果并不理想。
手术虽然可以切除大部分肿瘤组织,但由于胶质母细胞瘤呈弥漫性浸润性生长,很难完全切除干净,术后复发率较高。放疗和化疗虽然可以在一定程度上抑制肿瘤细胞的生长,但也会对正常组织造成损伤,带来一系列副作用,如恶心、呕吐、脱发、免疫力下降等。而且,部分患者对放疗和化疗不敏感,治疗效果不佳。
精准医疗是利用现代遗传技术、分子影像技术、生物信息技术,结合患者的生活环境和临床数据,实现精准的疾病分类和诊断,制定具有个性化的治疗方案。它强调对人、病、药的深度认识,重视“病”的深度特征和“药”的高度精准性。
精准医疗的概念源于精准外科,2004年首次被提出,之后其内涵和外延不断丰富和完善。2011年,美国国家科学研究委员会在《走向精准医疗》报告中首次对“精准医疗”做了全面、详细的阐述,其要点是对疾病进行基于分子机制的重新“分类”和在此基础上的“对症用药”。随着精准医疗概念的普及,它已逐步发展成为以个性化医疗为特点,借助并整合现代科学技术各学科领域的方法技术,开展疾病的精准预防和管理、精准诊断和治疗,实现临床治疗效果最优、医疗投入成本最低、社会健康效益最高。
靶向治疗是针对肿瘤细胞特定靶点的治疗方法。通过使用特异性的药物来抑制肿瘤细胞的生长和繁殖,从而达到治疗肿瘤的目的。与传统的化疗药物相比,靶向治疗药物具有更高的选择性和更低的毒性,能够更精准地作用于肿瘤细胞,减少对正常组织的损伤。
在胶质母细胞瘤的治疗中,靶向治疗还处于研究阶段,但已经取得了一些进展。例如,针对某些特定的基因异常,如MET基因异常扩增,可以使用新型靶向药阻断肿瘤细胞的生长信号传导通路,从源头遏制癌细胞的增殖与侵袭。

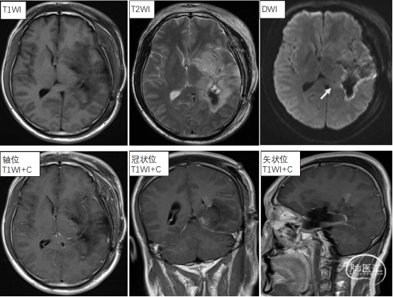
今年3月,63岁的李女士(化名)来到树兰(济南)医院就诊。彼时,她被胶质母细胞瘤反复折磨,身体极度虚弱。因化疗导致头发大把脱落,行走艰难,只能扶着墙勉强挪步。胶质母细胞瘤作为恶性程度最高、侵袭性最强的脑肿瘤之一,严重威胁着她的生命健康。
李女士入院后,神经肿瘤科陶荣杰主任迅速率领团队展开救治。团队运用液体活检技术,仅用72小时就精准锁定了MET基因异常扩增这一病灶关键。针对这一异常基因,团队采用新型靶向药阻断肿瘤细胞的生长信号传导通路,从源头遏制癌细胞的增殖与侵袭,为后续治疗争取到了宝贵时间。
在治疗期间,团队每周监测血药浓度,像调试精密仪器般动态调整剂量,确保药物精准作用于病灶。这种精细化、个体化的治疗策略,体现了精准医疗的核心思想。
此外,树兰医院的全数字化影像系统、智能导航平台等尖端设备,与顶级学者团队经验结合,形成了全链条诊疗体系。以智能导航平台为例,它能将患者的CT、MRI数据进行三维重建,提前模拟药物在体内的分布与疗效,帮助医生预判治疗效果和可能出现的副作用,为制定治疗方案提供科学依据。
经过三个月的治疗,李女士的肿瘤缩小超30%,原本无力的肢体逐渐恢复力量,生活基本能够自理。这一显著的治疗效果打破了胶质母细胞瘤“绝症”的固有认知,为众多患者带来了新的希望。
树兰医院团队运用液体活检技术,仅用72小时就精准锁定了MET基因异常扩增这一病灶关键。这一精准诊断为后续的靶向治疗提供了明确的方向,使得治疗能够有的放矢,大大提高了治疗的有效性。
在治疗期间,团队每周监测血药浓度,动态调整剂量,确保药物精准作用于病灶。这种精细化、个体化的治疗策略,充分考虑了患者的个体差异,避免了“一刀切”的治疗方式带来的弊端,提高了治疗的安全性和有效性。
多学科协作贯穿治疗全程。神经外科、病理科、临床药师等每周联合讨论,从分子特征到饮食睡眠,全方位制定方案。比如临床药师会根据患者的肝肾功能调整靶向药剂量,营养师会针对化疗反应设计专属食谱,心理医生定期疏导家属的焦虑情绪。这种多学科协作的模式,为患者提供了全方位的支持,确保了治疗的顺利进行。

精准医疗在胶质母细胞瘤治疗中具有诸多优势。首先,它能够提高治疗效果。通过精准诊断和个体化治疗,能够更精准地作用于肿瘤细胞,减少对正常组织的损伤,提高治疗的针对性和有效性。
其次,精准医疗可以减少副作用。传统的化疗药物往往会对正常组织造成较大的损伤,带来一系列副作用。而靶向治疗药物具有更高的选择性和更低的毒性,能够减少对患者身体的伤害,提高患者的生活质量。
最后,精准医疗有助于实现长期生存。通过精准治疗,能够更好地控制肿瘤的生长和复发,延长患者的生存期,提高患者的生存率。
然而,精准医疗在胶质母细胞瘤治疗中也面临着一些挑战。首先,技术成本较高。精准医疗需要运用先进的技术和设备,如基因测序、液体活检等,这些技术和设备的成本较高,导致治疗费用相对较高,增加了患者的经济负担。
其次,专业人才短缺。精准医疗需要既懂医学又懂生物信息学、遗传学等多学科知识的专业人才,但目前这类专业人才相对短缺,限制了精准医疗的推广和应用。
最后,技术普及难度大。精准医疗的技术和理念相对较新,需要一定的时间和资源来进行推广和普及。在一些基层医疗机构,可能缺乏相应的技术和设备,难以开展精准医疗服务。
未来,精准医疗技术将不断创新和发展。基因测序技术将更加快速、准确、低成本,能够为精准诊断提供更丰富的信息。液体活检技术也将不断完善,能够更早地检测到肿瘤细胞的存在和变化,为早期治疗提供依据。
此外,人工智能和大数据技术将在精准医疗中发挥越来越重要的作用。通过对大量患者数据的分析和挖掘,能够发现疾病的发病规律和治疗规律,为个性化治疗方案的制定提供支持。
精准医疗在胶质母细胞瘤的临床应用前景广阔。随着技术的不断进步和成本的降低,精准医疗将逐渐普及到更多的医疗机构,为更多的患者提供服务。
未来,精准医疗可能会与其他治疗手段相结合,形成更加综合的治疗方案。例如,将靶向治疗与免疫治疗、放疗、化疗等相结合,发挥各自的优势,提高治疗效果。
精准医疗的发展将对医学领域产生深远的影响。它将推动医学模式从粗放型向精准型转变,实现个体和社会健康效益的最大化。
精准医疗还将促进医学科技与其他学科的交叉融合,推动医学科技的进步和创新。同时,它也将提高医疗服务的质量和效率,改善患者的就医体验。
树兰医院在精准医疗领域取得的突破性成果,为胶质母细胞瘤患者带来了新的希望。通过靶向治疗成功使患者肿瘤缩小30%,这一成果不仅体现了精准医疗在胶质母细胞瘤治疗中的巨大潜力,也为其他医疗机构提供了宝贵的经验。
精准医疗以其精准诊断、个体化治疗和多学科协作等优势,为胶质母细胞瘤的治疗开辟了新的道路。然而,我们也应该清醒地认识到,精准医疗在发展过程中面临着技术成本高、专业人才短缺等挑战。
未来,我们需要加强技术创新,降低技术成本,培养更多的专业人才,推动精准医疗的普及和应用。相信在不久的将来,精准医疗将成为胶质母细胞瘤治疗的主流手段,为更多的患者带来生的希望。
寻找优质医疗资源  伴您走上康复之路